mobile background
mobile background

진료과목

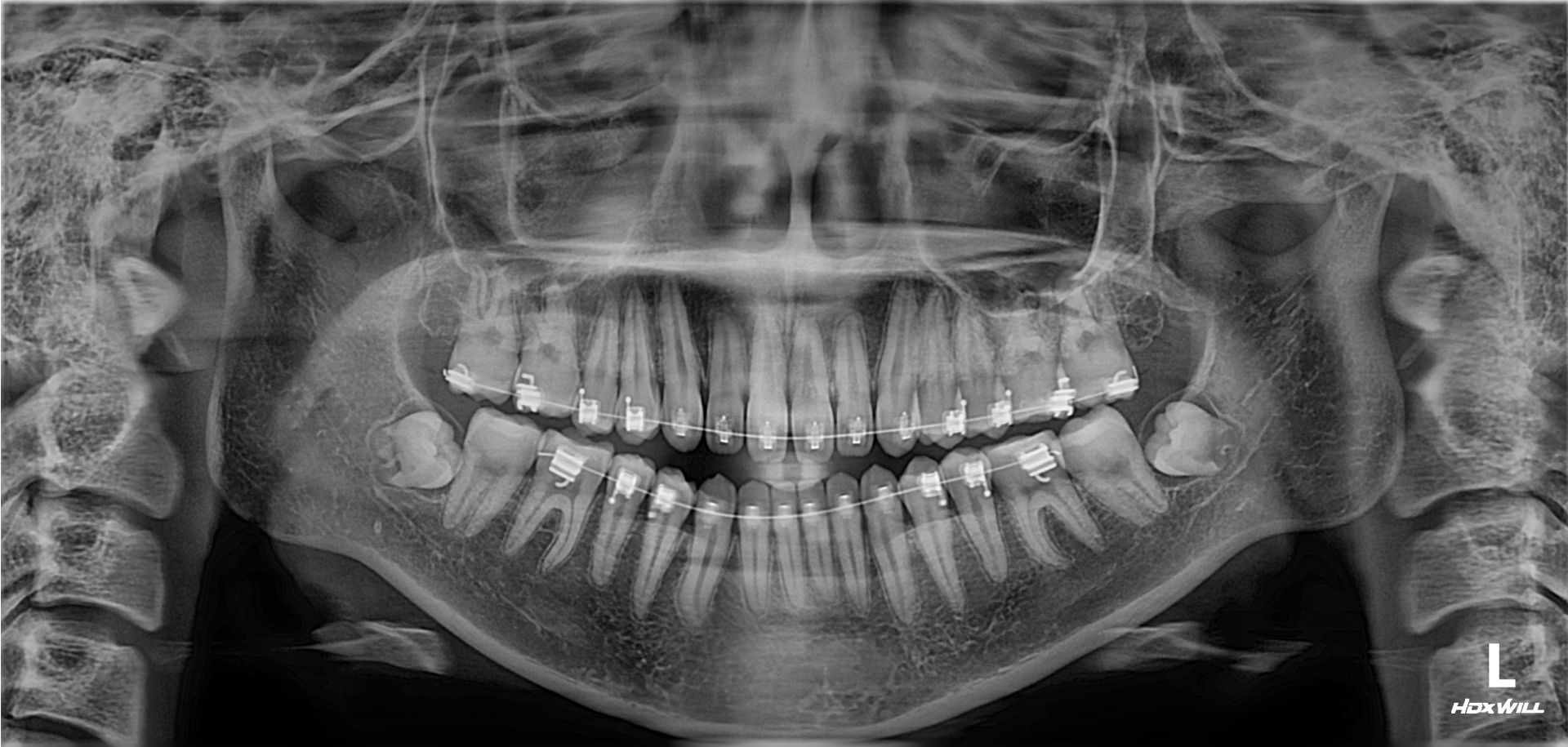
사랑니 발치

치관주위염

치료 기간 2023. 12. 19 하루 진료

CHAM JOEUN DENTAL CLINIC

빨리 뽑는 것 보다
잘 뽑는게 중요합니다.
하지만, 잘하는 의사는
'빨리, 그리고 잘' 뽑습니다.

확장 개원 후, 첫 번째 사랑니 환자입니다. 잇몸 밖으로 보이지도 않고, 절개를 해도 뼈만 보이고 사랑니는 보이지를 않습니다. 이 정도면 사랑니 중에서도 난도가 높은 편입니다. 발치하는 데 얼마나 걸릴까요? 빨리 뽑는 것보다 잘 뽑는 게 중요하지만, 역설적으로 잘하는 의사는 빨리 뽑습니다. 그리고 약물 처방 외에도 주사 처방을 통해 붓기를 조절해 드립니다.

부작용 안내

신경손상, 악관절의 외상, 드라이소켓(건선치조골염) 등이 있을 수 있습니다. 


* 상기 사진은 본원 권대근 대표원장이 치료한 환자분의 동의를 받은 이미지 사진으로 실제와 차이가 있을 수 있습니다.

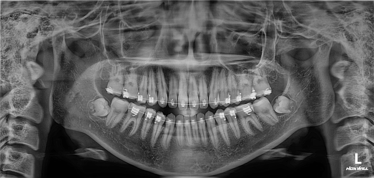
치관주위염

치료 기간 2023. 12. 19 하루 진료

CHAM JOEUN DENTAL CLINIC

빨리 뽑는 것 보다 잘 뽑는게 중요합니다.
하지만, 잘하는 의사는 '빨리, 그리고 잘' 뽑습니다.

확장 개원 후, 첫 번째 사랑니 환자입니다. 잇몸 밖으로 보이지도 않고, 절개를 해도 뼈만 보이고 사랑니는 보이지를 않습니다.
이 정도면 사랑니 중에서도 난도가 높은 편입니다. 발치하는 데 얼마나 걸릴까요?
빨리 뽑는 것보다 잘 뽑는 게 중요하지만, 역설적으로 잘하는 의사는 빨리 뽑습니다. 그리고 약물 처방 외에도 주사 처방을 통해 붓기를 조절해 드립니다.

부작용 안내

신경손상, 악관절의 외상, 드라이소켓(건선치조골염) 등이 있을 수 있습니다.


* 상기 사진은 본원 권대근 대표원장이 치료한 환자분의 동의를 받은 이미지 사진으로 실제와 차이가 있을 수 있습니다.


오시는 길

경상남도 통영시 광도면 죽림리 1569-31,
강남빌딩 3층 참조은치과
* 통영경찰서, 농협하나로마트 맞은편


진료시간 (둘째, 넷째주 토요일 휴진)

월요일10:00 - 19:00
화요일10:00 - 20:30 (야간진료)
수요일10:00 - 19:00
목요일10:00 - 20:30 (야간진료)
금요일10:00 - 19:00
토요일10:00 - 14:00 (점심시간 없이 진료)
점심시간12:30 - 14:00

참조은치과

대표 권대근
주소 경남 통영시 죽림리 1569-31 강남빌딩 3층
문의 및 상담전화 055-648-7528
사업자등록번호 612-93-34116


개인정보처리방침   이용약관

상담안내

055-648-7528


오시는 길

경상남도 통영시 광도면 죽림리 1569-31 강남빌딩 3층 참조은치과
* 통영경찰서, 농협하나로마트 맞은편


진료 시간 안내

월요일

화요일

수요일

요일

금요일

토요일

점심시간

10:00 - 19:00

10:00 - 20:30 (야간진료)

10:00 - 19:00

10:00 - 20:30 (야간진료)

10:00 - 19:00

10:00 - 14:00

12:30 - 14:00 (토요일 점심시간 없이 진료)

휴무일

둘째, 넷째주 토요일 휴진


참조은치과

대표 권대근   •   주소 경상남도 통영시 죽림리 1569-31 강남빌딩 3층 참조은치과   •   문의 및 상담전화 055-648-7528   •   사업자등록번호 612-93-34116


개인정보처리방침   이용약관

© 2025 참조은치과. All Rights Reserved.