mobile background

자연치아 보다 더 우수한 재료는 없습니다.

자연치아 살리기

mobile background

자연치아 보다 더 우수한 재료는 없습니다.

자연치아 살리기

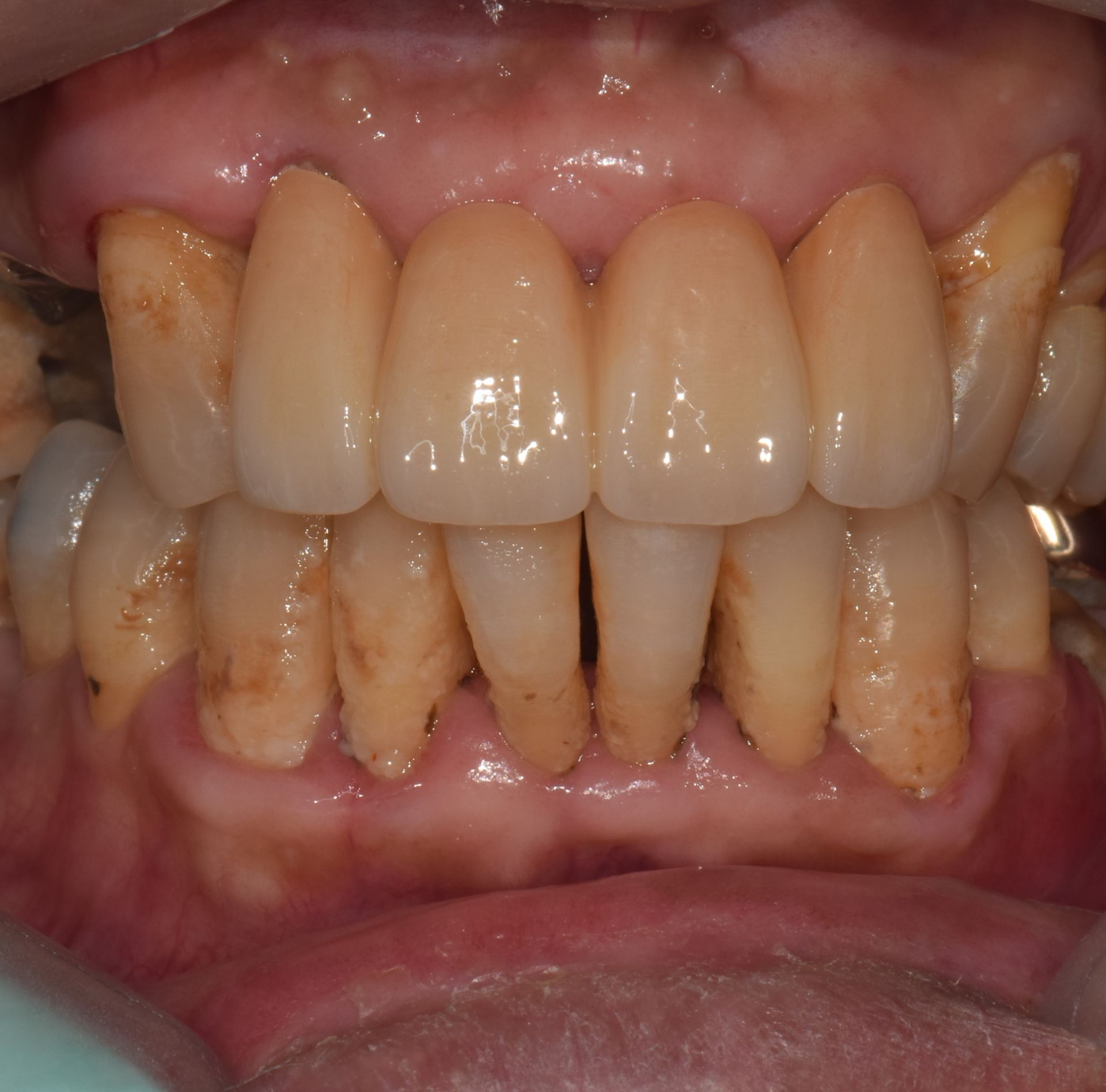
치아우식, 신경치료 및 치은성형술, 심미보철치료

치료 기간 2023. 11. 02 ~ 2023. 12. 20

CHAM JOEUN DENTAL CLINIC

환자분께서 임플란트를
생각하고 오셨지만,
치아는 살릴 수 있다면
살리는게 좋습니다.

확장 개원 후 마무리하신 환자분입니다. 앞니 기존 보철물을 하고 계셨지만 치아가 삭아서 보철물이 탈락해서 내원하셨습니다. 환자분께서는 뽑고 임플란트를 생각하고 오셨지만... 

“치아는 살릴 수 있다면, 살리는 게 좋다.”

간단한 잇몸 수술, 신경치료 후에 기둥을 세워 치아머리만 만들어진다면 충분히 살릴 수 있다고 판단하고 살리는 쪽으로 설명드렸습니다. 환자분들의 치아 하나하나를 소중히 생각하는 참조은치과입니다.

부작용 안내

신경치료후 부작용은 감염, 염증, 통증 등이 있을 수 있습니다. 보철치료 후 부작용은 보철이 잘못만들어졌을때 통증, 편두통 등이 있을 수 있으며, 보철 마모 및 탈락이 있을 수 있습니다.


* 상기 사진은 본원 권대근 대표원장이 치료한 환자분의 동의를 받은 이미지 사진으로 실제와 차이가 있을 수 있습니다.

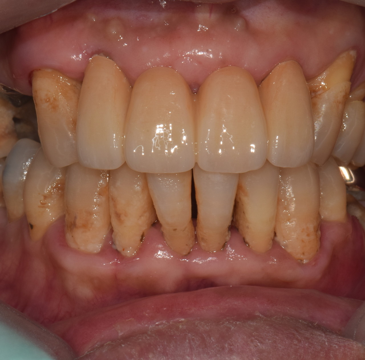
치아우식, 신경치료 및 치은성형술, 심미보철치료

치료 기간 2023. 11. 02 ~ 2023. 12. 20

CHAM JOEUN DENTAL CLINIC

환자분께서
임플란트를 생각하고 오셨지만,
치아는 살릴 수 있다면 살리는게 좋습니다.

확장 개원 후 마무리하신 환자분입니다. 앞니 기존 보철물을 하고 계셨지만 치아가 삭아서 보철물이 탈락해서 내원하셨습니다.
환자분께서는 뽑고 임플란트를 생각하고 오셨지만... “치아는 살릴 수 있다면, 살리는 게 좋다.”
간단한 잇몸 수술, 신경치료 후에 기둥을 세워 치아머리만 만들어진다면 충분히 살릴 수 있다고 판단하고 살리는 쪽으로 설명드렸습니다.
환자분들의 치아 하나하나를 소중히 생각하는 참조은치과입니다.

부작용 안내

신경치료후 부작용은 감염, 염증, 통증 등이 있을 수 있습니다.
보철치료 후 부작용은 보철이 잘못만들어졌을때 통증, 편두통 등이 있을 수 있으며, 보철 마모 및 탈락이 있을 수 있습니다.


* 상기 사진은 본원 권대근 대표원장이 치료한 환자분의 동의를 받은 이미지 사진으로 실제와 차이가 있을 수 있습니다.


오시는 길

경상남도 통영시 광도면 죽림리 1569-31,
강남빌딩 3층 참조은치과
* 통영경찰서, 농협하나로마트 맞은편


진료시간 (둘째, 넷째주 토요일 휴진)

월요일10:00 - 19:00
화요일10:00 - 20:30 (야간진료)
수요일10:00 - 19:00
목요일10:00 - 20:30 (야간진료)
금요일10:00 - 19:00
토요일10:00 - 14:00 (점심시간 없이 진료)
점심시간12:30 - 14:00

참조은치과

대표 권대근
주소 경남 통영시 죽림리 1569-31 강남빌딩 3층
문의 및 상담전화 055-648-7528
사업자등록번호 612-93-34116


개인정보처리방침   이용약관

상담안내

055-648-7528


오시는 길

경상남도 통영시 광도면 죽림리 1569-31 강남빌딩 3층 참조은치과
* 통영경찰서, 농협하나로마트 맞은편


진료 시간 안내

월요일

화요일

수요일

요일

금요일

토요일

점심시간

10:00 - 19:00

10:00 - 20:30 (야간진료)

10:00 - 19:00

10:00 - 20:30 (야간진료)

10:00 - 19:00

10:00 - 14:00

12:30 - 14:00 (토요일 점심시간 없이 진료)

휴무일

둘째, 넷째주 토요일 휴진


참조은치과

대표 권대근   •   주소 경상남도 통영시 죽림리 1569-31 강남빌딩 3층 참조은치과   •   문의 및 상담전화 055-648-7528   •   사업자등록번호 612-93-34116


개인정보처리방침   이용약관

© 2025 참조은치과. All Rights Reserved.