mobile background

구강악안면외과 전문의가 직접 진료합니다.

교정

mobile background

진료과목

교정

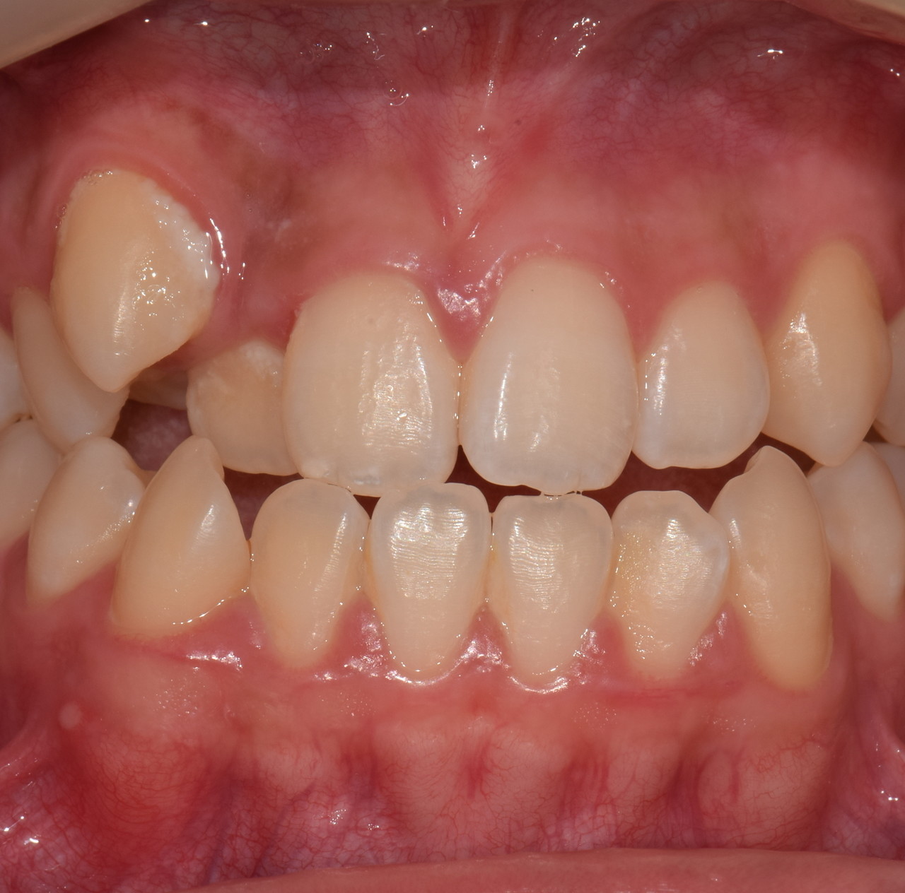
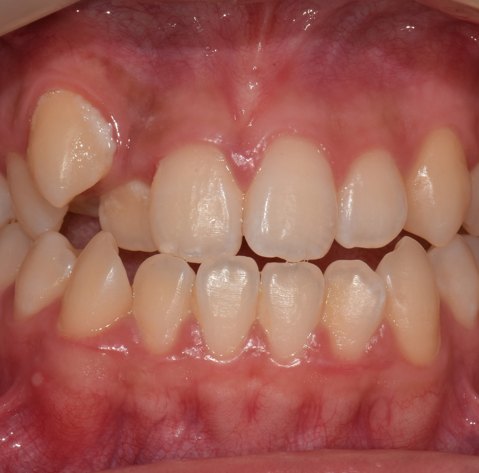
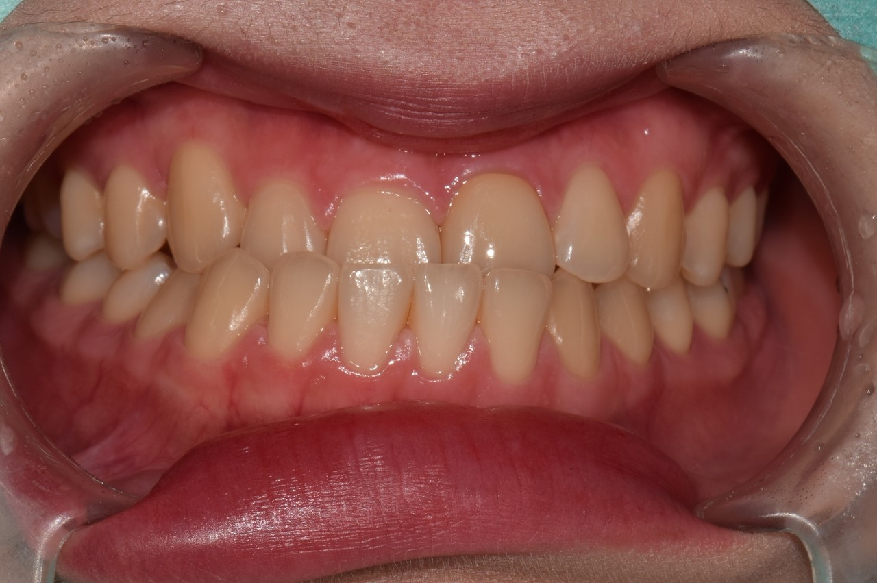
반대교합 클리피씨 교정치료 

2022. 02. 08 ~ 2023. 02. 15 3급 부정교합 

CHAM JOEUN DENTAL CLINIC

교정, 교합 상태에 따라
적절히 이뤄져야 합니다.

멀리서 교정 받으러 온 환자입니다. 근처 치과에서 교정 상담 시, 치과마다 이야기가 틀려서 치료 결정을 하지 못하고 이 곳, 저 곳 알아보시다 본원까지 내원하였습니다. 전치 부가 완전히 반대교합이라 어려워 보이지만, 실제적으로는 교합이 좋아 12개월 만에 마무리한 케이스입니다. 치과까지 거리가 멀어 정중선 같은 세세한 교정은 하지 않고 반대교합 해소 및 보철치료하였습니다. 브라켓 종류는 많지만, 제일 무난한 클리피씨를 이용하였습니다.

부작용 안내

교정치료 후 부작용은 치아 탈회, 잇몸 염증, 잇몸 퇴축, 치근 흡수, 턱관절 장애 등이 있을 수 있습니다. 


* 상기 사진은 본원 권대근 대표원장이 치료한 환자분의 동의를 받은 이미지 사진으로 실제와 차이가 있을 수 있습니다.

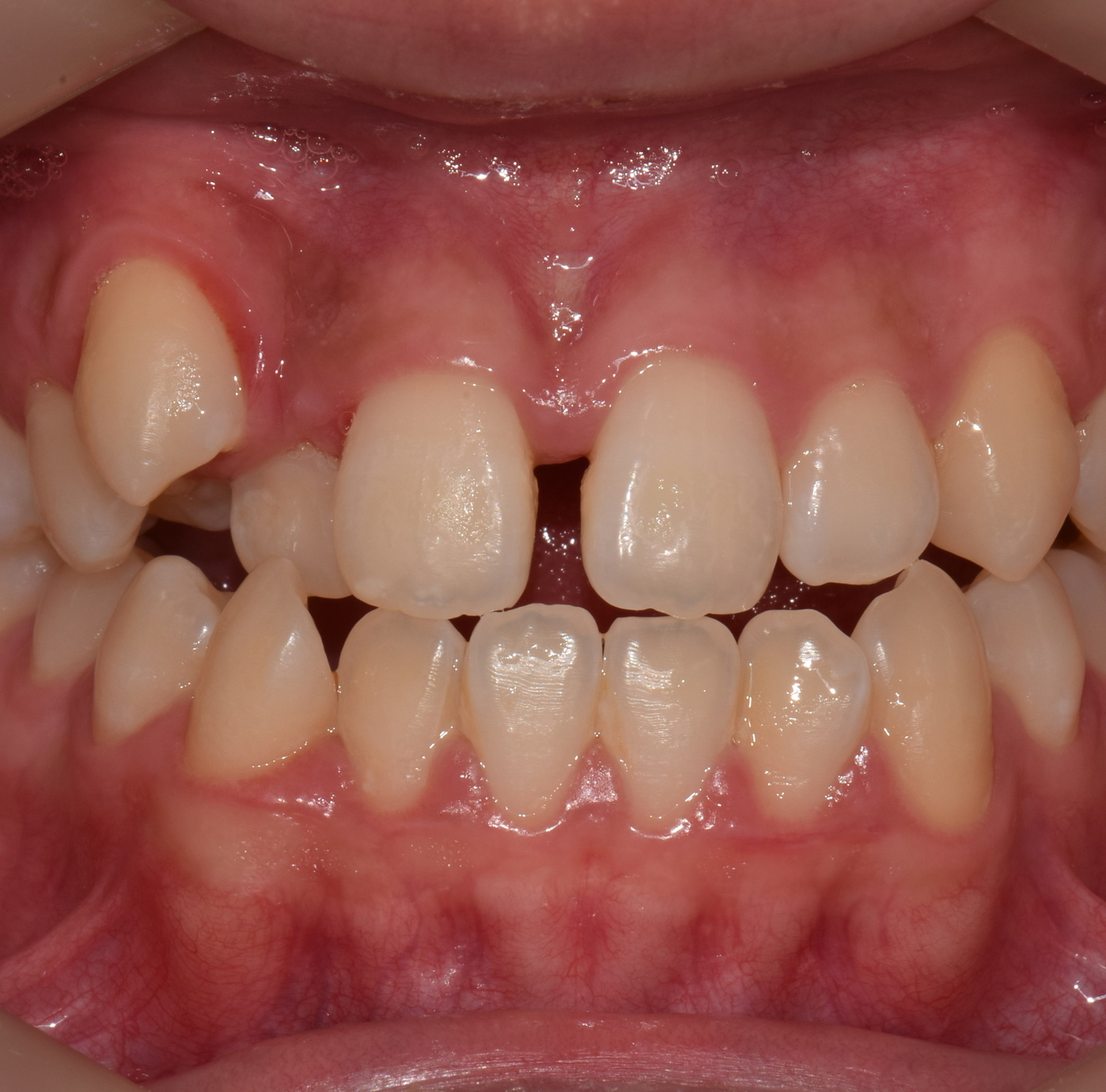
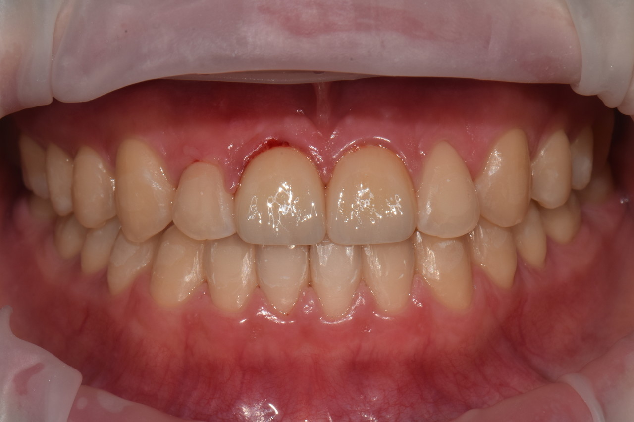
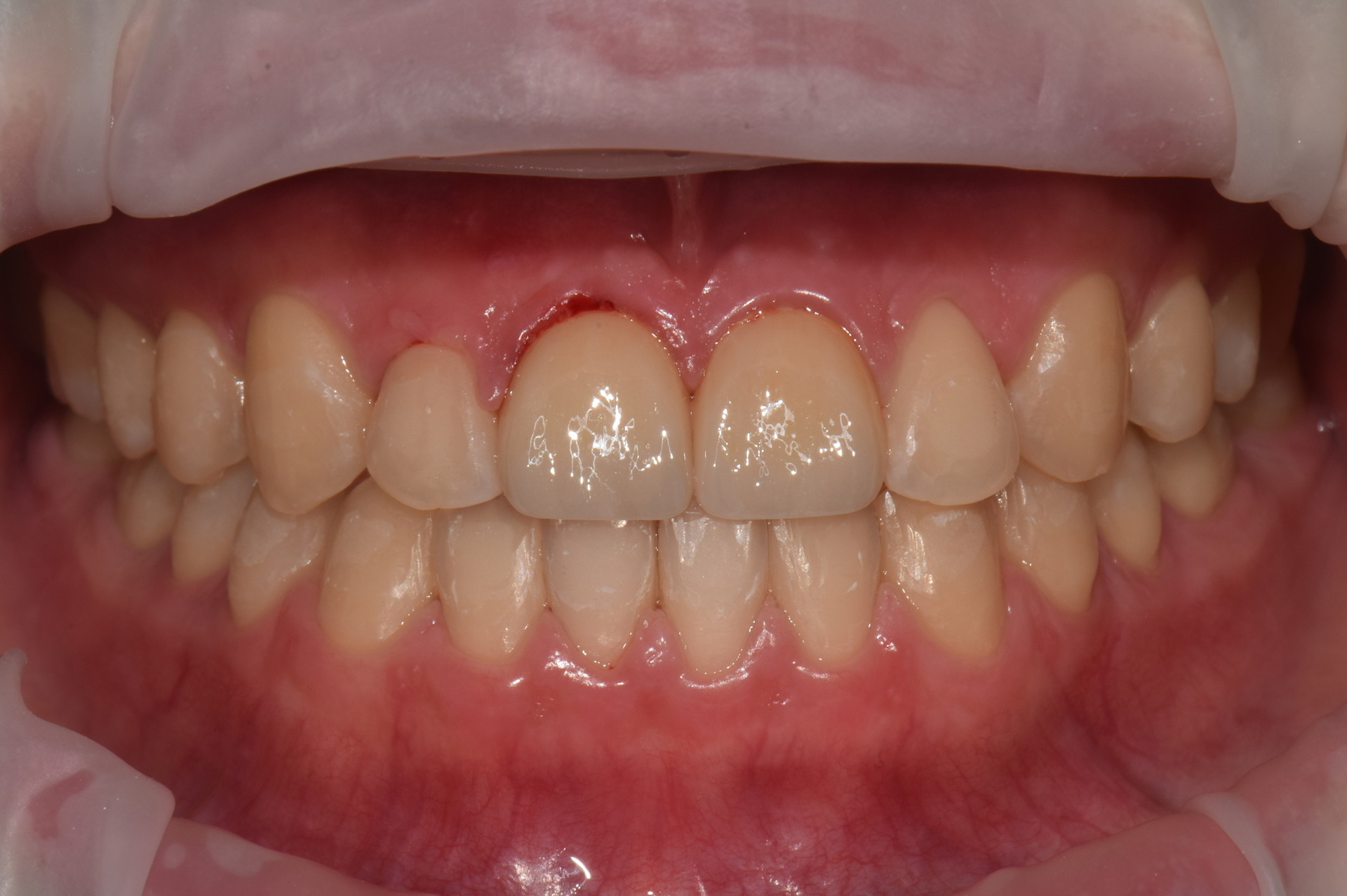
MARPE 교정치료

2022. 01. 11 ~ 2022. 02. 05 상악구개확장장치 

CHAM JOEUN DENTAL CLINIC

MARPE,
교정이 쉬워집니다. 

위턱이 아래턱에 비해서 너무 작습니다. 단순히 교정만으로 위아래를 억지로 맞추게 되면 상악 치아들이 뻐드러지면서 맞춰집니다. 교합도 불안정할뿐더러 재발 가능성이 올라갑니다. 예전에는 이를 전신마취 수술을 통해서 상악 구게 봉합을 잘라줬는데, 이제 MARPE라는 술식을 통해 수술 없이 위턱을 확장시켜줄 수 있습니다. 정확한 술식이 이뤄진다면 대문니가 벌어지는 것을 확인할 수 있죠. 위아래 턱의 위치를 잡아준다면 교정은 너무나 쉬워지고, 불필요한 발치를 하지 않아도 됩니다. 실제 교정은 1년 4개월 만에 끝이 났습니다.

부작용 안내

교정치료 후 부작용은 치아 탈회, 잇몸 염증, 잇몸 퇴축, 치근 흡수, 턱관절 장애 등이 있을 수 있습니다. 


* 상기 사진은 본원 권대근 대표원장이 치료한 환자분의 동의를 받은 이미지 사진으로 실제와 차이가 있을 수 있습니다.

반대교합 클리피씨 교정치료

2022. 02. 08 ~ 2023. 02. 15 3급 부정교합

CHAM JOEUN DENTAL CLINIC

교정, 교합 상태에 따라
적절히 이뤄져야 합니다.

멀리서 교정 받으러 온 환자입니다. 근처 치과에서 교정 상담 시, 치과마다 이야기가 틀려서 치료 결정을 하지 못하고
이 곳, 저 곳 알아보시다 본원까지 내원하였습니다. 전치 부가 완전히 반대교합이라 어려워 보이지만, 실제적으로는 교합이 좋아 12개월 만에 마무리한 케이스입니다.
치과까지 거리가 멀어 정중선 같은 세세한 교정은 하지 않고 반대교합 해소 및 보철치료하였습니다.
브라켓 종류는 많지만, 제일 무난한 클리피씨를 이용하였습니다.

부작용 안내

교정치료 후 부작용은 치아 탈회, 잇몸 염증, 잇몸 퇴축, 치근 흡수, 턱관절 장애 등이 있을 수 있습니다. 


* 상기 사진은 본원 권대근 대표원장이 치료한 환자분의 동의를 받은 이미지 사진으로 실제와 차이가 있을 수 있습니다.

MARPE 교정치료

2022. 01. 11 ~ 2022. 02. 05 상악구개확장장치

MARPE, 교정이 쉬워집니다.

위턱이 아래턱에 비해서 너무 작습니다. 단순히 교정만으로 위아래를 억지로 맞추게 되면 상악 치아들이 뻐드러지면서 맞춰집니다.
교합도 불안정할뿐더러 재발 가능성이 올라갑니다. 예전에는 이를 전신마취 수술을 통해서 상악 구게 봉합을 잘라줬는데,
이제 MARPE라는 술식을 통해 수술 없이 위턱을 확장시켜줄 수 있습니다. 정확한 술식이 이뤄진다면 대문니가 벌어지는 것을 확인할 수 있죠.
위아래 턱의 위치를 잡아준다면 교정은 너무나 쉬워지고, 불필요한 발치를 하지 않아도 됩니다. 실제 교정은 1년 4개월 만에 끝이 났습니다.

부작용 안내

교정치료 후 부작용은 치아 탈회, 잇몸 염증, 잇몸 퇴축, 치근 흡수, 턱관절 장애 등이 있을 수 있습니다.


* 상기 사진은 본원 권대근 대표원장이 치료한 환자분의 동의를 받은 이미지 사진으로 실제와 차이가 있을 수 있습니다.


오시는 길

경상남도 통영시 광도면 죽림리 1569-31,
강남빌딩 3층 참조은치과
* 통영경찰서, 농협하나로마트 맞은편


진료시간 (둘째, 넷째주 토요일 휴진)

월요일10:00 - 19:00
화요일10:00 - 20:30 (야간진료)
수요일10:00 - 19:00
목요일10:00 - 20:30 (야간진료)
금요일10:00 - 19:00
토요일10:00 - 14:00 (점심시간 없이 진료)
점심시간12:30 - 14:00

참조은치과

대표 권대근
주소 경남 통영시 죽림리 1569-31 강남빌딩 3층
문의 및 상담전화 055-648-7528
사업자등록번호 612-93-34116


개인정보처리방침   이용약관

상담안내

055-648-7528


오시는 길

경상남도 통영시 광도면 죽림리 1569-31 강남빌딩 3층 참조은치과
* 통영경찰서, 농협하나로마트 맞은편


진료 시간 안내

월요일

화요일

수요일

요일

금요일

토요일

점심시간

10:00 - 19:00

10:00 - 20:30 (야간진료)

10:00 - 19:00

10:00 - 20:30 (야간진료)

10:00 - 19:00

10:00 - 14:00

12:30 - 14:00 (토요일 점심시간 없이 진료)

휴무일

둘째, 넷째주 토요일 휴진


참조은치과

대표 권대근   •   주소 경상남도 통영시 죽림리 1569-31 강남빌딩 3층 참조은치과   •   문의 및 상담전화 055-648-7528   •   사업자등록번호 612-93-34116


개인정보처리방침   이용약관

© 2025 참조은치과. All Rights Reserved.