mobile background
mobile background

CHAM JOEUN DENTAL CLINIC

진료사례

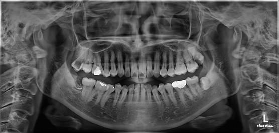
사랑니

참조은치과 사랑니 발치 사례를 소개합니다.


사랑니#48 사랑니 발치

치료 기간  2024. 03. 12 당일 치료



cc. #48 발치 원하심



K01.173 하악 제3대구치 의 매복





이미지



이미지


이미지



이미지



[부작용 안내]

신경손상, 악관절의 외상, 드라이소켓(건선치조골염) 등이 있을 수 있습니다.

※ 상기 사진은 본원 권대근 대표원장이 치료한 환자분의 동의를 받은 이미지 사진으로 실제와 차이가 있을 수 있습니다.



오시는 길

경상남도 통영시 광도면 죽림리 1569-31,
강남빌딩 3층 참조은치과
* 통영경찰서, 농협하나로마트 맞은편


진료시간 (둘째, 넷째주 토요일 휴진)

월요일10:00 - 19:00
화요일10:00 - 20:30 (야간진료)
수요일10:00 - 19:00
목요일10:00 - 20:30 (야간진료)
금요일10:00 - 19:00
토요일10:00 - 14:00 (점심시간 없이 진료)
점심시간12:30 - 14:00

참조은치과

대표 권대근
주소 경남 통영시 죽림리 1569-31 강남빌딩 3층
문의 및 상담전화 055-648-7528
사업자등록번호 612-93-34116


개인정보처리방침   이용약관

상담안내

055-648-7528


오시는 길

경상남도 통영시 광도면 죽림리 1569-31 강남빌딩 3층 참조은치과
* 통영경찰서, 농협하나로마트 맞은편


진료 시간 안내

월요일

화요일

수요일

요일

금요일

토요일

점심시간

10:00 - 19:00

10:00 - 20:30 (야간진료)

10:00 - 19:00

10:00 - 20:30 (야간진료)

10:00 - 19:00

10:00 - 14:00

12:30 - 14:00 (토요일 점심시간 없이 진료)

휴무일

둘째, 넷째주 토요일 휴진


참조은치과

대표 권대근   •   주소 경상남도 통영시 죽림리 1569-31 강남빌딩 3층 참조은치과   •   문의 및 상담전화 055-648-7528   •   사업자등록번호 612-93-34116


개인정보처리방침   이용약관

© 2025 참조은치과. All Rights Reserved.