mobile background
mobile background

CHAM JOEUN DENTAL CLINIC

진료사례

자연치아 살리기

참조은치과 차연치아 살리기 진료 사례를 소개합니다.


재신경치료


치료 기간 2024. 05. 09 ~ 2024. 07. 02


치료 내용 재신경 치료



치아를 살리는 건, 역시 참조은치과입니다.



이미지




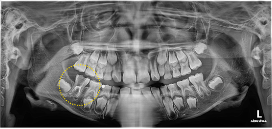
2022. 06. 24 일 파노라마 사진입니다. # 46 치아는 타 치과에서 신경치료 중이라고 합니다. 

정말 아쉬운 신경치료 상태인데, 그마저도 치근단 형성이 덜되어 1년 기다렸다 다시 치료를 하자고 했다고 합니다. 

치근단유도술을 위해선 저렇게 내부 신경을 다 제거하는 게 아니지만, 제 치료가 아니니 더 설명은 하지 않았습니다.





이미지

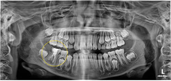
그러고 1년 반이 지나고 24. 01. 11일 사진입니다.

치아 머리는 떼워져만 있고, 제대로 치료되지 못한 치아 하방에는 염증이 가득 차 있습니다. 

이 치아는 아이가 평생 써야 되는 영구치입니다.

 

“과소진료가 최선의 진료는 아닙니다.”

보험재료로 떼웠으니, 좋은 치료가 되는건 아닙니다. 

다시 한번 재신경 치료를 권하니, 흔쾌히 치료에 응해주셔서 재신경 치료를 시작합니다.





이미지

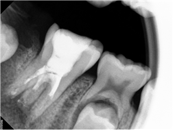
치료 전 단계입니다. 

치근단유도술의 흔적은 없습니다. 

이미 내부 신경은 괴사가 됐다고 판단하고, pulpectomy 시행하기로 합니다.



이미지

신경치료는 5번 만에 마무리 하였고, MTA를 이용한 마무리를 하였습니다.



기존 신경치료와 차이는 확연하게 느껴집니다.

그리고 한달이 지나서 재내원 하였습니다.





이미지


뿌리 끝에 있던 염증은 말끔히 사라지고, 뼈가 차고 있습니다.

증상도 없고, 보철치료를 하기로 결정하였습니다.





[부작용 안내]


신경치료 후 감염, 염증, 통증 등의 부작용이 발생할 수 있으며, 크라운 보철치료 후 부작용은 보철이 잘못 만들어졌을 때 하악 통증, 편두통 등이 있을 수 있습니다. 또 보철 마모 및 탈락이 있을 수 있습니다.

※ 상기 사진은 본원 권대근 대표원장이 치료한 환자분의 동의를 받은 이미지 사진으로 실제와 차이가 있을 수 있습니다.




오시는 길

경상남도 통영시 광도면 죽림리 1569-31,
강남빌딩 3층 참조은치과
* 통영경찰서, 농협하나로마트 맞은편


진료시간 (둘째, 넷째주 토요일 휴진)

월요일10:00 - 19:00
화요일10:00 - 20:30 (야간진료)
수요일10:00 - 19:00
목요일10:00 - 20:30 (야간진료)
금요일10:00 - 19:00
토요일10:00 - 14:00 (점심시간 없이 진료)
점심시간12:30 - 14:00

참조은치과

대표 권대근
주소 경남 통영시 죽림리 1569-31 강남빌딩 3층
문의 및 상담전화 055-648-7528
사업자등록번호 612-93-34116


개인정보처리방침   이용약관

상담안내

055-648-7528


오시는 길

경상남도 통영시 광도면 죽림리 1569-31 강남빌딩 3층 참조은치과
* 통영경찰서, 농협하나로마트 맞은편


진료 시간 안내

월요일

화요일

수요일

요일

금요일

토요일

점심시간

10:00 - 19:00

10:00 - 20:30 (야간진료)

10:00 - 19:00

10:00 - 20:30 (야간진료)

10:00 - 19:00

10:00 - 14:00

12:30 - 14:00 (토요일 점심시간 없이 진료)

휴무일

둘째, 넷째주 토요일 휴진


참조은치과

대표 권대근   •   주소 경상남도 통영시 죽림리 1569-31 강남빌딩 3층 참조은치과   •   문의 및 상담전화 055-648-7528   •   사업자등록번호 612-93-34116


개인정보처리방침   이용약관

© 2025 참조은치과. All Rights Reserved.