mobile background
mobile background

CHAM JOEUN DENTAL CLINIC

진료사례

자연치아 살리기

참조은치과 차연치아 살리기 진료 사례를 소개합니다.


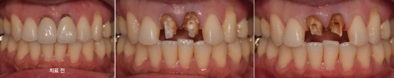
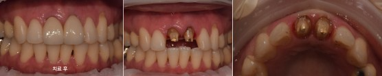
재신경치료 후 보철 치료

치료 기간 24. 03. 02 (당일 치료)



c.c 앞니 씌운게 오래되어서 새로해야하는지 상담 문의함




이미지

#11,21 뿌리 끝에 염증있어서 re-endo후 post cr설명 드리고 진행함.



이미지

치료 전




이미지

치료 후




[부작용 안내]


신경치료 후 감염, 염증, 통증 등의 부작용이 발생할 수 있으며, 크라운 보철치료 후 부작용은 보철이 잘못 만들어졌을 때 하악 통증, 편두통 등이 있을 수 있습니다. 또 보철 마모 및 탈락이 있을 수 있습니다.

※ 상기 사진은 본원 권대근 대표원장이 치료한 환자분의 동의를 받은 이미지 사진으로 실제와 차이가 있을 수 있습니다.



오시는 길

경상남도 통영시 광도면 죽림리 1569-31,
강남빌딩 3층 참조은치과
* 통영경찰서, 농협하나로마트 맞은편


진료시간 (둘째, 넷째주 토요일 휴진)

월요일10:00 - 19:00
화요일10:00 - 20:30 (야간진료)
수요일10:00 - 19:00
목요일10:00 - 20:30 (야간진료)
금요일10:00 - 19:00
토요일10:00 - 14:00 (점심시간 없이 진료)
점심시간12:30 - 14:00

참조은치과

대표 권대근
주소 경남 통영시 죽림리 1569-31 강남빌딩 3층
문의 및 상담전화 055-648-7528
사업자등록번호 612-93-34116


개인정보처리방침   이용약관

상담안내

055-648-7528


오시는 길

경상남도 통영시 광도면 죽림리 1569-31 강남빌딩 3층 참조은치과
* 통영경찰서, 농협하나로마트 맞은편


진료 시간 안내

월요일

화요일

수요일

요일

금요일

토요일

점심시간

10:00 - 19:00

10:00 - 20:30 (야간진료)

10:00 - 19:00

10:00 - 20:30 (야간진료)

10:00 - 19:00

10:00 - 14:00

12:30 - 14:00 (토요일 점심시간 없이 진료)

휴무일

둘째, 넷째주 토요일 휴진


참조은치과

대표 권대근   •   주소 경상남도 통영시 죽림리 1569-31 강남빌딩 3층 참조은치과   •   문의 및 상담전화 055-648-7528   •   사업자등록번호 612-93-34116


개인정보처리방침   이용약관

© 2025 참조은치과. All Rights Reserved.