mobile background
mobile background

CHAM JOEUN DENTAL CLINIC

진료사례

자연치아 살리기

참조은치과 차연치아 살리기 진료 사례를 소개합니다.


신경치료 및 치근단절제술

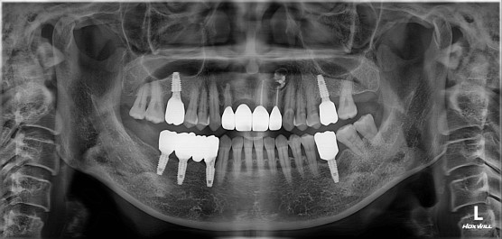
치료 기간 2021. 10. 15 ~2022. 02. 11


진단명 : 치근단낭

치료명 : 신경치료 및 치근단절제술





이미지

#12.X.21.22 cr 상태 #21.22 뿌리밑 염증, Fistula 있음






이미지

#21.22 신경치료 진행 / 마무리




이미지




#12X21.22 CR 제작, Fistula 없어짐






이미지 






[부작용 안내]


신경치료 후 감염, 염증, 통증 등의 부작용이 발생할 수 있으며, 크라운 보철치료 후 부작용은 보철이 잘못 만들어졌을 때 하악 통증, 편두통 등이 있을 수 있습니다. 또 보철 마모 및 탈락이 있을 수 있습니다.

※ 상기 사진은 본원 권대근 대표원장이 치료한 환자분의 동의를 받은 이미지 사진으로 실제와 차이가 있을 수 있습니다.



오시는 길

경상남도 통영시 광도면 죽림리 1569-31,
강남빌딩 3층 참조은치과
* 통영경찰서, 농협하나로마트 맞은편


진료시간 (둘째, 넷째주 토요일 휴진)

월요일10:00 - 19:00
화요일10:00 - 20:30 (야간진료)
수요일10:00 - 19:00
목요일10:00 - 20:30 (야간진료)
금요일10:00 - 19:00
토요일10:00 - 14:00 (점심시간 없이 진료)
점심시간12:30 - 14:00

참조은치과

대표 권대근
주소 경남 통영시 죽림리 1569-31 강남빌딩 3층
문의 및 상담전화 055-648-7528
사업자등록번호 612-93-34116


개인정보처리방침   이용약관

상담안내

055-648-7528


오시는 길

경상남도 통영시 광도면 죽림리 1569-31 강남빌딩 3층 참조은치과
* 통영경찰서, 농협하나로마트 맞은편


진료 시간 안내

월요일

화요일

수요일

요일

금요일

토요일

점심시간

10:00 - 19:00

10:00 - 20:30 (야간진료)

10:00 - 19:00

10:00 - 20:30 (야간진료)

10:00 - 19:00

10:00 - 14:00

12:30 - 14:00 (토요일 점심시간 없이 진료)

휴무일

둘째, 넷째주 토요일 휴진


참조은치과

대표 권대근   •   주소 경상남도 통영시 죽림리 1569-31 강남빌딩 3층 참조은치과   •   문의 및 상담전화 055-648-7528   •   사업자등록번호 612-93-34116


개인정보처리방침   이용약관

© 2025 참조은치과. All Rights Reserved.