mobile background
mobile background

CHAM JOEUN DENTAL CLINIC

진료사례

자연치아 살리기

참조은치과 차연치아 살리기 진료 사례를 소개합니다.


신경치료 및 보철치료


치료 기간 2021. 09. 08 ~ 2021. 10.26




안녕하세요. 통영치과 참조은치과 원장 권대근입니다.

 


이번에 소개드릴 케이스는 제가 씌웠던 환자분인데 

뿌리끝 염증과 잇몸 염증이 동시에 생긴 경우입니다.

 

 [2021. 09. 08 초진]



이미지

두치아 모두에서 뿌리끝 염증이 보이며, 오른쪽 치아에서는 뿌리와 뿌리 사이, 가랑이 부분까지도염증이 생겨 어둡게 보이고 있습니다. 


이럴 경우 먼저 신경치료를 해서 뿌리끝 염증을 다스리고,  추가적으로 잇몸치료를 동시에 진행해서 염증을 다스려줍니다.

이미지

역시 신비의 약인 MTA를 이용해서 신경치료 마무리를 해준 모습입니다.

약재가 뿌리끝까지 잘 넘어간 걸 확인했습니다. (pumping)

통영신경치료 후에는 보철물을 올려서 보철치료를 통해 마무리를 해주었습니다.




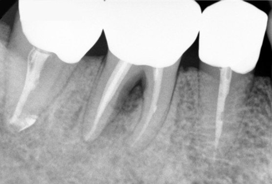
[2022. 09. 14 정기검진]


치료후 1년뒤(2022.09.14 정기검진) 내원한 모습입니다.

뿌리끝염증은 뼈로 꽉 차면서 드라마틱 하게 좋아진 모습이며, 

오른쪽 치아의 가랑이 부위는 잇몸치료를 위해 

치조골 성형 한 부분이 약간 어둡게 나올 뿐 역시 뼈로 잘 찬 모습입니다. 





이미지

신경치료는 만병통치약은 아닙니다. 

신경치료를 했다고 모든 염증과 통증을 잡을 순 없지만 치아를 살리려는 노력과 정성이 중요합니다.


자연치아를 살리기 위한 신경치료! 

너무 늦지 않게 통영치과를 내원하여  보존치료를 통해 영구치를 오래도록 사용하도록 하세요.


[부작용 안내]


신경치료 후 감염, 염증, 통증 등의 부작용이 발생할 수 있으며, 크라운 보철치료 후 부작용은 보철이 잘못 만들어졌을 때 하악 통증, 편두통 등이 있을 수 있습니다. 또 보철 마모 및 탈락이 있을 수 있습니다.

※ 상기 사진은 본원 권대근 대표원장이 치료한 환자분의 동의를 받은 이미지 사진으로 실제와 차이가 있을 수 있습니다.



오시는 길

경상남도 통영시 광도면 죽림리 1569-31,
강남빌딩 3층 참조은치과
* 통영경찰서, 농협하나로마트 맞은편


진료시간 (둘째, 넷째주 토요일 휴진)

월요일10:00 - 19:00
화요일10:00 - 20:30 (야간진료)
수요일10:00 - 19:00
목요일10:00 - 20:30 (야간진료)
금요일10:00 - 19:00
토요일10:00 - 14:00 (점심시간 없이 진료)
점심시간12:30 - 14:00

참조은치과

대표 권대근
주소 경남 통영시 죽림리 1569-31 강남빌딩 3층
문의 및 상담전화 055-648-7528
사업자등록번호 612-93-34116


개인정보처리방침   이용약관

상담안내

055-648-7528


오시는 길

경상남도 통영시 광도면 죽림리 1569-31 강남빌딩 3층 참조은치과
* 통영경찰서, 농협하나로마트 맞은편


진료 시간 안내

월요일

화요일

수요일

요일

금요일

토요일

점심시간

10:00 - 19:00

10:00 - 20:30 (야간진료)

10:00 - 19:00

10:00 - 20:30 (야간진료)

10:00 - 19:00

10:00 - 14:00

12:30 - 14:00 (토요일 점심시간 없이 진료)

휴무일

둘째, 넷째주 토요일 휴진


참조은치과

대표 권대근   •   주소 경상남도 통영시 죽림리 1569-31 강남빌딩 3층 참조은치과   •   문의 및 상담전화 055-648-7528   •   사업자등록번호 612-93-34116


개인정보처리방침   이용약관

© 2025 참조은치과. All Rights Reserved.