mobile background
mobile background

CHAM JOEUN DENTAL CLINIC

진료사례

자연치아 살리기

참조은치과 차연치아 살리기 진료 사례를 소개합니다.


파절된 치아의 신경치료 및 보철 수복 치료

치료 기간 2022. 06.22 ~ 2022. 07.21



 

안녕하세요. 참조은치과 원장 권대근입니다.

오랜만에 케이스를 하나 올려봅니다.

 

[2022. 06. 22 초진 시 환자분 구강 상태]

 

22년 6월 내원하신 환자분으로 # 37  치아에 금이 가서 타원에서 부분신경치료 후

금관수복을 하였으나 저작시 통증이 계속되서 발치여부 진단을 위해 내원하셨습니다.

진단과 치료에는 문제가 없는듯합니다.

치아를 살리기위한 치료를 하였으나 최종적으로 발치를 설명 들으셨다고 합니다.

하지만 치아의 상태가 너무 좋고 통증만 없으면 충분히 오랫동안 사용할수 있어보입니다.   



이미지

[2022. 06. 22 초진 시 구강 상태]

1. 통증이 있다면, 부분신경치료가 아닌 전체신경치료를 하고 지켜보는건 어떨까?
2. 바로 저작을 하지않고 휴식기를 가진뒤 제대로 씌운다면 어떨까?

진단과 치료가 잘된 케이스라 좀 더 나은 결과를 위해 다른 치료방법을 생각했습니다.
치아자체는 염증소견도 없고 깨끗해서 증상만 없다면 얼마든지 더 쓸 수 있는 상태 였습니다.
역시나 발치가능성을 고지하였고, 환자분 동의하에 치료가 진행되었습니다.
이미지\

[2022. 06. 27 신경치료 소독 중]

부분신경치료된 부분을 깨끗하게 제거하고 난 모습입니다. 
후방부 금이간 부분이 보이시죠?
기존 임시치아를 했던 부분을 제거하고 교합을 낮추고 휴식기를 줬습니다.
증상은 하루가 다르게 좋아졌습니다.

이미지

[2022. 06. 30 신경치료 마무리]

신경치료 마무리 후 모습입니다.
그리고 임시치아를 다시 제작 후 증상을 지켜봤습니다.
증상은 말끔하게 사라지셨다고 하셔서 이쁘게 보철물 마무리를 하였습니다.

이미지
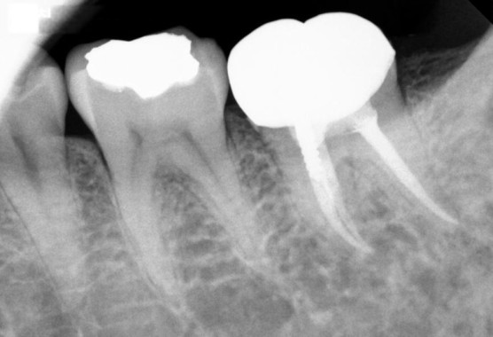
[2022. 07. 21 보철물 셋팅]

치아에 잘맞게 씌워진걸 볼 수 있습니다. 이상소견없어 보철물 마무리 후 치료 종결하였습니다.
일반적으로 치아에 금이가면 발치 후 임플란트를 하자는 치과가 많지만,
이번 케이스에서는 살릴려는 노력을 했음에도 불구하고 증상 호전이 되지않아 발치를 설명 하신듯합니다.
운이 좋게도 다른 치료방법을 이용해서 발치 하지않고 잘 마무리 된 치료 케이스입니다.


 



이미지

[부작용 안내]


신경치료 후 감염, 염증, 통증 등의 부작용이 발생할 수 있으며, 크라운 보철치료 후 부작용은 보철이 잘못 만들어졌을 때 하악 통증, 편두통 등이 있을 수 있습니다. 또 보철 마모 및 탈락이 있을 수 있습니다.

※ 상기 사진은 본원 권대근 대표원장이 치료한 환자분의 동의를 받은 이미지 사진으로 실제와 차이가 있을 수 있습니다.




오시는 길

경상남도 통영시 광도면 죽림리 1569-31,
강남빌딩 3층 참조은치과
* 통영경찰서, 농협하나로마트 맞은편


진료시간 (둘째, 넷째주 토요일 휴진)

월요일10:00 - 19:00
화요일10:00 - 20:30 (야간진료)
수요일10:00 - 19:00
목요일10:00 - 20:30 (야간진료)
금요일10:00 - 19:00
토요일10:00 - 14:00 (점심시간 없이 진료)
점심시간12:30 - 14:00

참조은치과

대표 권대근
주소 경남 통영시 죽림리 1569-31 강남빌딩 3층
문의 및 상담전화 055-648-7528
사업자등록번호 612-93-34116


개인정보처리방침   이용약관

상담안내

055-648-7528


오시는 길

경상남도 통영시 광도면 죽림리 1569-31 강남빌딩 3층 참조은치과
* 통영경찰서, 농협하나로마트 맞은편


진료 시간 안내

월요일

화요일

수요일

요일

금요일

토요일

점심시간

10:00 - 19:00

10:00 - 20:30 (야간진료)

10:00 - 19:00

10:00 - 20:30 (야간진료)

10:00 - 19:00

10:00 - 14:00

12:30 - 14:00 (토요일 점심시간 없이 진료)

휴무일

둘째, 넷째주 토요일 휴진


참조은치과

대표 권대근   •   주소 경상남도 통영시 죽림리 1569-31 강남빌딩 3층 참조은치과   •   문의 및 상담전화 055-648-7528   •   사업자등록번호 612-93-34116


개인정보처리방침   이용약관

© 2025 참조은치과. All Rights Reserved.