mobile background
mobile background

CHAM JOEUN DENTAL CLINIC

진료사례

자연치아 살리기

참조은치과 차연치아 살리기 진료 사례를 소개합니다.


브릿지 재치료, 치아살리기 케이스

안녕하세요. 참조은치과 권대근 원장입니다. 1월의 케이스를 조금 빨리 올릴거 같네요.


잘치료되었다해도 이후에 사진을 찍기가 쉽지 않는데, 

마침 드라마틱한 변화를 보인 2년뒤 사진을 찍게 되어서 올려봅니다.


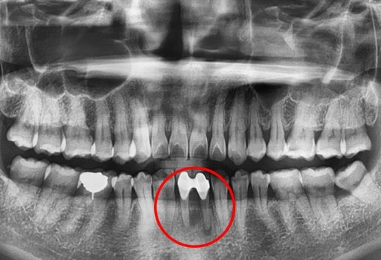
먼저 초진 사진입니다.


치료 기간 2020.09.09 ~ 2020. 09.29




[2020.09.09. 초진 시 구강 상태]

 

 

아래 앞니 2개가 이어져있는 브릿지 형태에 뿌리끝 밑 주변 염증이 있는 상태로 내원하셨습니다. 

주소는 “욱씬거림과 타치과에서 뿌리까지 썩었다고 했어요.”

 

환자분들이 오해하기 쉬운 설명이 있었나봅니다. 

드러나지 않은 뿌리는 썩지 않는다고 보시면 됩니다. 

염증만 잘 잡으면 기존것보다 더이쁜 보철물과 굳이 이어서 씌울 필요도 없이

좋은 잇몸으로 잘 마무리 할수 있을것으로 보였습니다. 



이미지



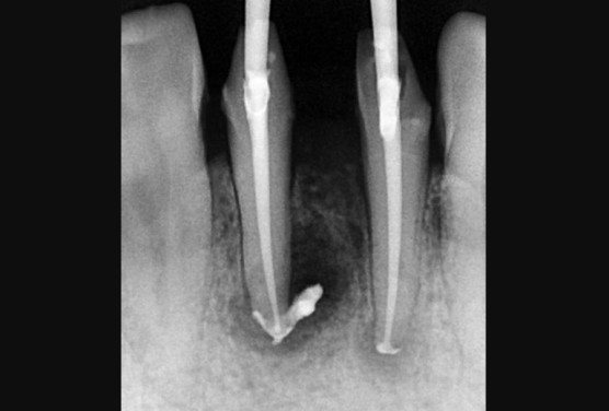
[신경치료 중 뿌리 끝 염증 사진]

 

신경치료 과정의 사진이며, 뿌리끝 염증이 선명하게 보입니다. 

사이즈는 1cm 정도 되며, 뼈이식을 할수도 있겠지만, 많이 언급드렸던 마법의 비약 MTA를 사용합니다.



이미지

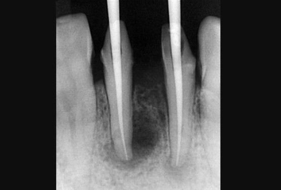
[MTA 이용한 신경치료 마무리]

 

뿌리 끝에 약재가 펌핑되어서 나온모양이 보이나요? 

제일 이상적으로 신경치료가 마무리 되었을 때 나오는 형상이죠. 

증상도 말끔하게 사라지고, 보철물도 이쁘게 잘되어서 

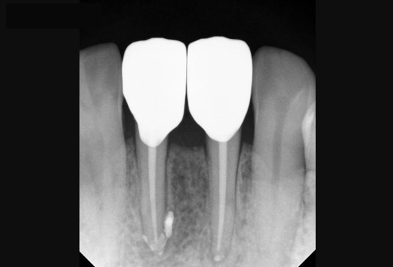
이후 사진이 없다가 얼마전 다른 치아를 주소로 내원하셔서 앞니 사진을 한번 찍어봤네요.

 

 

이미지


[2년 뒤 건강한 모습 (2022.01.13)]

 

기존의 염증은 온데간데 없이 사라졌고, 그 자리에는 뼈가 꽉 차있네요. 

보철물도 기존 브릿지 타입에서 개별로 이쁘게 잘씌워 잇몸관리에도 더 좋아진 모습입니다. 

드러난 뿌리가 썩을순 있어도 드러나지 않은 뿌리가 썩는 일은 극히 드뭅니다. 

염증이 생기면 뼈이식을 할수도 치근단수술을 할수도 혹은 뽑을수도 있지만

MTA란 약재를 이용해서 치아를 살릴수 있다면 이보다 좋은일이 있을까요?

 

감사합니다.

 





이미지



[부작용 안내]


신경치료 후 감염, 염증, 통증 등의 부작용이 발생할 수 있으며, 크라운 보철치료 후 부작용은 보철이 잘못 만들어졌을 때 하악 통증, 편두통 등이 있을 수 있습니다. 또 보철 마모 및 탈락이 있을 수 있습니다.

※ 상기 사진은 본원 권대근 대표원장이 치료한 환자분의 동의를 받은 이미지 사진으로 실제와 차이가 있을 수 있습니다.




오시는 길

경상남도 통영시 광도면 죽림리 1569-31,
강남빌딩 3층 참조은치과
* 통영경찰서, 농협하나로마트 맞은편


진료시간 (둘째, 넷째주 토요일 휴진)

월요일10:00 - 19:00
화요일10:00 - 20:30 (야간진료)
수요일10:00 - 19:00
목요일10:00 - 20:30 (야간진료)
금요일10:00 - 19:00
토요일10:00 - 14:00 (점심시간 없이 진료)
점심시간12:30 - 14:00

참조은치과

대표 권대근
주소 경남 통영시 죽림리 1569-31 강남빌딩 3층
문의 및 상담전화 055-648-7528
사업자등록번호 612-93-34116


개인정보처리방침   이용약관

상담안내

055-648-7528


오시는 길

경상남도 통영시 광도면 죽림리 1569-31 강남빌딩 3층 참조은치과
* 통영경찰서, 농협하나로마트 맞은편


진료 시간 안내

월요일

화요일

수요일

요일

금요일

토요일

점심시간

10:00 - 19:00

10:00 - 20:30 (야간진료)

10:00 - 19:00

10:00 - 20:30 (야간진료)

10:00 - 19:00

10:00 - 14:00

12:30 - 14:00 (토요일 점심시간 없이 진료)

휴무일

둘째, 넷째주 토요일 휴진


참조은치과

대표 권대근   •   주소 경상남도 통영시 죽림리 1569-31 강남빌딩 3층 참조은치과   •   문의 및 상담전화 055-648-7528   •   사업자등록번호 612-93-34116


개인정보처리방침   이용약관

© 2025 참조은치과. All Rights Reserved.