mobile background
mobile background

CHAM JOEUN DENTAL CLINIC

진료사례

자연치아 살리기

참조은치과 차연치아 살리기 진료 사례를 소개합니다.


신경치료 및 크라운치료, 잇몸치료

치료 기간 2020.01.02 ~ 2020.01.14 신경 치료 / 2021.01.19 ~ 2022. 01. 04 잇몸 치료\


[2020.01.02 첫 내원 시 구강 상태]

아래어금니가 씹을 때 아파서 내원하셨습니다.
입안을 살펴보니 기존 수복되어있는 치아에 틈이 생겨 치수염이 생기고,
뿌리끝 부분만이 아니라 주변까지 다 염증에 이환되어있는 상태였습니다. 

이미지

[치아뿌리 주변까지 염증에 이환된 상태]

치아 자체가 흔들리기도 하였고, 발치 가능성을 고지한뒤 신경치료를 시작합니다.
이미지

[MTA 약재를 이용하여 신경치료 마무리]

치아는 신경치료가 제일 어렵다는 C형 모양을 가지고 있었습니다. 
여러번의 소독을 거치자 치아의 동요도도 좋아지고 증상도 완화되어
MTA 약재를 이용해서 신경치료를 마무리 하였습니다. 

이쁘게 크라운치료도 마무리 하였고, 
다른 증상으로 인해서 오랜만에 치과를 내원하시어 이전 염증부분을 확인 할 수 있었네요.

이미지

[2022.01.04 염증은 사라지고 뼈가 찬 모습]

뿌리 끝, 그리고 뿌리 사이에 있던 염증이 안보이죠? 
치아에 대한 증상은 말끔하게 없어졌고 오히려 뼈가 잘 차오른 모습을 보여주고 있습니다.



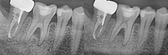
이미지

[신경치료 전/후 비교사진]




이미지



[부작용 안내]


신경치료 후 감염, 염증, 통증 등의 부작용이 발생할 수 있으며, 크라운 보철치료 후 부작용은 보철이 잘못 만들어졌을 때 하악 통증, 편두통 등이 있을 수 있습니다. 또 보철 마모 및 탈락이 있을 수 있습니다.

※ 상기 사진은 본원 권대근 대표원장이 치료한 환자분의 동의를 받은 이미지 사진으로 실제와 차이가 있을 수 있습니다.




오시는 길

경상남도 통영시 광도면 죽림리 1569-31,
강남빌딩 3층 참조은치과
* 통영경찰서, 농협하나로마트 맞은편


진료시간 (둘째, 넷째주 토요일 휴진)

월요일10:00 - 19:00
화요일10:00 - 20:30 (야간진료)
수요일10:00 - 19:00
목요일10:00 - 20:30 (야간진료)
금요일10:00 - 19:00
토요일10:00 - 14:00 (점심시간 없이 진료)
점심시간12:30 - 14:00

참조은치과

대표 권대근
주소 경남 통영시 죽림리 1569-31 강남빌딩 3층
문의 및 상담전화 055-648-7528
사업자등록번호 612-93-34116


개인정보처리방침   이용약관

상담안내

055-648-7528


오시는 길

경상남도 통영시 광도면 죽림리 1569-31 강남빌딩 3층 참조은치과
* 통영경찰서, 농협하나로마트 맞은편


진료 시간 안내

월요일

화요일

수요일

요일

금요일

토요일

점심시간

10:00 - 19:00

10:00 - 20:30 (야간진료)

10:00 - 19:00

10:00 - 20:30 (야간진료)

10:00 - 19:00

10:00 - 14:00

12:30 - 14:00 (토요일 점심시간 없이 진료)

휴무일

둘째, 넷째주 토요일 휴진


참조은치과

대표 권대근   •   주소 경상남도 통영시 죽림리 1569-31 강남빌딩 3층 참조은치과   •   문의 및 상담전화 055-648-7528   •   사업자등록번호 612-93-34116


개인정보처리방침   이용약관

© 2025 참조은치과. All Rights Reserved.