mobile background
mobile background

CHAM JOEUN DENTAL CLINIC

진료사례

자연치아 살리기

참조은치과 차연치아 살리기 진료 사례를 소개합니다.


재신경치료 및 치아 천공 치료

안녕하세요. 참조은치과 원장 권대근입니다

오래간만에 글을 또 써봅니다.

 

고성에서 신경치료를 받으신 환자분으로

치료 후 염증이 생겨 진주 큰치과 보존과에서 3개월간 신경치료를 이어 받았지만

증상호전이 되지 않아 발치설명을 듣고 본원 내원하신분입니다.

 

소문을 듣고 오셨다고 하셨지만 구강외과전문의에게 신경치료를 위해서

멀리 오셨다기에 의아하기도 하고 감사하기 따름이었습니다.



치료 기간 : 2020. 01. 06 ~ 2020. 03. 18



[2020.01.06 처음 내원 시 찍은 사진]

 

처음 내원했을당시의 사진입니다.

잇몸밖으로 여드름과 같이 농이 배출되고 있는 상황이었으며, 통증이나 증상은 없었습니다.



이미지



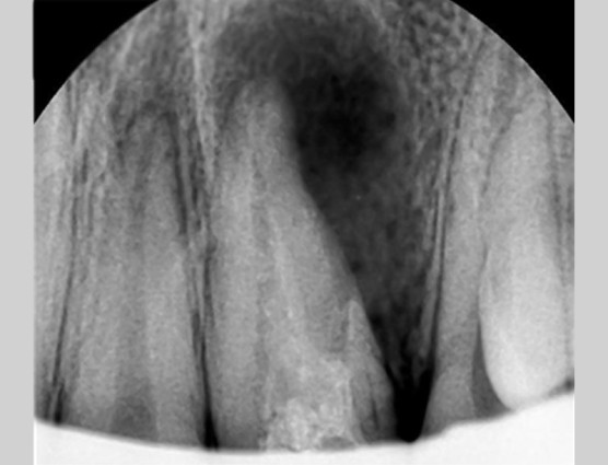
[치아만큼 큰 사이즈의 염증]

 

염증의 크기는 보시다시피, 치아만한 사이즈로 상당히 크게 자리를 잡고 있었습니다.

크기도 크기지만 위치가 치아 뿌리끝이 아닌 옆쪽으로 자리를 잡고 있습니다.

신경치료의 단순염증은 아니라는거죠.

 

보존과선생님의 진단으로는 치내치 및 구개측 천공으로 치근단절제술도 불가하고

소독을 계속해도 호전되지 않아 발치를 하기로 했다합니다.

이 부분에 대해서는 좀 복잡한 이야기가 될듯하여 넘어가도록합니다.

 

일단 구개측 천공된 부위를 MTA로 막고 신경관을 다시 찾아 신경치료를 마무리하기로 합니다.

이미 소독은 할만큼 하신 듯 보이고, MTA 에도 효과가 없으면 발치를해야겠죠.

 

일반적인 케이스와 다른 점이 치아의 측벽이 의도치않은 구멍이 있었다는 점입니다.

내흡수가 있었는지 혹은 과실로 인한 구멍인지는 모르겠지만 말이죠.



이미지



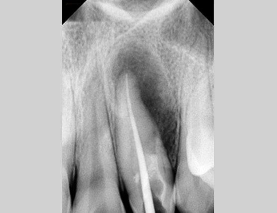
[신경관의 위치와 치아 천공의 위치]

 

하늘색의 신경관이 실제로 신경치료가 되어야하는 부분입니다.

하지만 파란색의 구멍을 막게 되면 좋아지리라 생각되었습니다.



이미지



[MTA를 이용한 재신경치료와 치아천공치료]

 

먼저 신경관에 대한 신경치료를 시작했습니다.

신경관 부위는 실러형 MTA를 사용하고, 옆에난 구멍은 파우더형 MTA를 이용해서 막기로 합니다.

 

옆쪽으로 구멍이난 부위로 인해 기존 신경관 찾는게 힘들었지만 잘 찾아 들어갔네요.

그리고 이제 할 일은 소독~ 소독~ 소독~ 약재를 잘넣고 이쁘게 마무리 하였습니다.

 


이미지


[치료 후 2달 후의 모습]

 

2달 후 모습입니다.

 

치아를 살리기 위해 보호자분도 고성에서 오시느라 고생많이 하셨습니다.

다행히 경과가 좋아보입니다. 주변 염증부위가 사라지고 뼈가 차오르는게 보이네요.




이미지



잇몸쪽에 보이던 뾰루지 (누공) 도 깨끗하게 사라진걸 확인하였습니다.

보철물도 이쁘게 올라갔고, 다음 검진때 다시 뵙기로 하였습니다.

멀리 고성에서, 그리고 진주 큰치과도 가셨다가 고생많이 하셨는데 좋은 치료가 된듯하여 기분이 좋습니다. 



[부작용 안내]


신경치료 후 감염, 염증, 통증 등의 부작용이 발생할 수 있으며, 크라운 보철치료 후 부작용은 보철이 잘못 만들어졌을 때 하악 통증, 편두통 등이 있을 수 있습니다. 또 보철 마모 및 탈락이 있을 수 있습니다.

※ 상기 사진은 본원 권대근 대표원장이 치료한 환자분의 동의를 받은 이미지 사진으로 실제와 차이가 있을 수 있습니다.



오시는 길

경상남도 통영시 광도면 죽림리 1569-31,
강남빌딩 3층 참조은치과
* 통영경찰서, 농협하나로마트 맞은편


진료시간 (둘째, 넷째주 토요일 휴진)

월요일10:00 - 19:00
화요일10:00 - 20:30 (야간진료)
수요일10:00 - 19:00
목요일10:00 - 20:30 (야간진료)
금요일10:00 - 19:00
토요일10:00 - 14:00 (점심시간 없이 진료)
점심시간12:30 - 14:00

참조은치과

대표 권대근
주소 경남 통영시 죽림리 1569-31 강남빌딩 3층
문의 및 상담전화 055-648-7528
사업자등록번호 612-93-34116


개인정보처리방침   이용약관

상담안내

055-648-7528


오시는 길

경상남도 통영시 광도면 죽림리 1569-31 강남빌딩 3층 참조은치과
* 통영경찰서, 농협하나로마트 맞은편


진료 시간 안내

월요일

화요일

수요일

요일

금요일

토요일

점심시간

10:00 - 19:00

10:00 - 20:30 (야간진료)

10:00 - 19:00

10:00 - 20:30 (야간진료)

10:00 - 19:00

10:00 - 14:00

12:30 - 14:00 (토요일 점심시간 없이 진료)

휴무일

둘째, 넷째주 토요일 휴진


참조은치과

대표 권대근   •   주소 경상남도 통영시 죽림리 1569-31 강남빌딩 3층 참조은치과   •   문의 및 상담전화 055-648-7528   •   사업자등록번호 612-93-34116


개인정보처리방침   이용약관

© 2025 참조은치과. All Rights Reserved.