mobile background
mobile background

CHAM JOEUN DENTAL CLINIC

진료사례

자연치아 살리기

참조은치과 차연치아 살리기 진료 사례를 소개합니다.


충치, 치료가 필요한 사례와 그렇지 않은 사례 비교

안녕하세요. 참조은치과 원장 권대근입니다. 

 

충치가 있다고 다 치료하는게 아니라는 점을 말씀드리기 위해 글을 써보고자 합니다. 

환자분들께서 입안을 보고 검은색의 충치가 있어 내원하셨을 때,


“치과치료할 것은 없고, 스케일링 하시고 다음 검진 때 뵙도록 하겠습니다.”

 라고 말씀을 드리면 그제서야 치아를 가르키며 여기 충치를 치료하고 싶다고 말씀하십니다. 

 

성인의 경우, 충치가 어느정도 진행되었다가 관리가 잘되면 

진행이 멈추고 재광화가 일어나게 되는데 이를 “정지우식, 정지된 충치” 라고 부릅니다. 

이런 부분들은 오히려 기존 치아보다도 강도가 강하고 진행될 가능성이 적죠. 치료를 할 필요가 없는거죠.



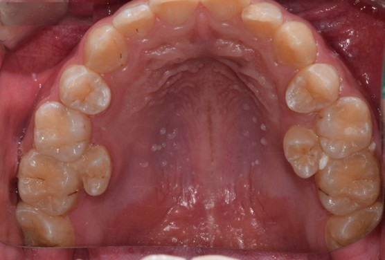
충치 CASE 1


치료 기간 2017. 05. 31 진단


고등학생 남자아이의 입안입니다. 치아에 까만 점들이 보이죠?



이미지



정지우식이 될 가능성이 높은 충치

 

4개의 치아가 충치가 있긴하죠. 

하지만 정지우식이 될 가능성이 높아 치료는 하지않고, 경과 관찰을 더하면 될 듯 합니다. 

실제로 2년동안 충치는 그대로 잘 유지 되고 있습니다. 

 

이미지


-


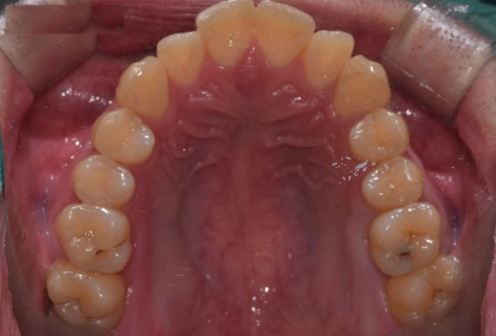
충치 CASE 2


치료 기간 2017. 06. 30 1일


두번째 케이스의 환자분입니다.

까만점이 바로 딱 보이죠?



이미지





양쪽 충치의 모습이 보입니다.

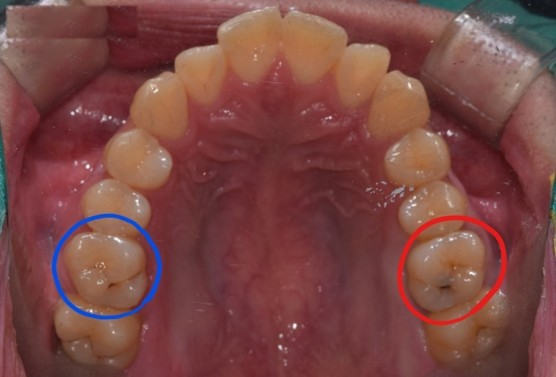
파란색 치아는 치료를 하지않고 경과관찰을 하기로 한 충치이고

빨간색 치아는 치료를 진행한 충치입니다. 





이미지




차이가 느껴지시나요? 

파란색 치아도 관리가 잘되지 않는다면 빨간색 치아처럼 충치가 진행될 수 있습니다. 

하지만 관리가 잘된다면 정지우식이 되고 치료할 필요가 없겠죠.

 

비교하기 편하게 같은 형태로 봐봅니다. 

빨간색 치아의 충치는 충치 주변으로 멍이 든것처럼 검은색이 비쳐보입니다. 

그리고 기구로 긁었을 때, 긁혀지는 진행중인 충치가 확인되어 치료를 하게 된 치아입니다.



이미지


치아에 검은점이 있다고 모조건 치료를 하는게 아니라는 점을 꼭 알아주시고, 

혹시 생각보다 많은 충치가 진행되었다면 타치과에서 재진단을 해보는 것도 좋은방법입니다.


환자분들의 건강한 치아를 위해 오늘도 노력하는 참조은치과입니다. 

 

감사합니다.


[부작용 안내]



충치 치료 후 자극성 음식물에 의해 지각 과민이 있을 수 있으나, 통증이 점점 심해지고 저작이 불가능한 경우는 비가역적인 치수염 상태일 수 있으므로 신경 치료가 필요하게 됩니다. 

그리고 중합 수축(레진 재료물성의 특징 중 굳어지면서 수축하는데, 수축하면서 치아를 잡아당기는 힘이 작용해 치아의 통증을 유발함)으로 통증이 있을 수 있습니다. 또한 변색과 지각 과민이 생길 수 있습니다. 


※ 상기 사진은 본원 권대근 대표원장이 치료한 환자분의 동의를 받은 이미지 사진으로 실제와 차이가 있을 수 있습니다.


오시는 길

경상남도 통영시 광도면 죽림리 1569-31,
강남빌딩 3층 참조은치과
* 통영경찰서, 농협하나로마트 맞은편


진료시간 (둘째, 넷째주 토요일 휴진)

월요일10:00 - 19:00
화요일10:00 - 20:30 (야간진료)
수요일10:00 - 19:00
목요일10:00 - 20:30 (야간진료)
금요일10:00 - 19:00
토요일10:00 - 14:00 (점심시간 없이 진료)
점심시간12:30 - 14:00

참조은치과

대표 권대근
주소 경남 통영시 죽림리 1569-31 강남빌딩 3층
문의 및 상담전화 055-648-7528
사업자등록번호 612-93-34116


개인정보처리방침   이용약관

상담안내

055-648-7528


오시는 길

경상남도 통영시 광도면 죽림리 1569-31 강남빌딩 3층 참조은치과
* 통영경찰서, 농협하나로마트 맞은편


진료 시간 안내

월요일

화요일

수요일

요일

금요일

토요일

점심시간

10:00 - 19:00

10:00 - 20:30 (야간진료)

10:00 - 19:00

10:00 - 20:30 (야간진료)

10:00 - 19:00

10:00 - 14:00

12:30 - 14:00 (토요일 점심시간 없이 진료)

휴무일

둘째, 넷째주 토요일 휴진


참조은치과

대표 권대근   •   주소 경상남도 통영시 죽림리 1569-31 강남빌딩 3층 참조은치과   •   문의 및 상담전화 055-648-7528   •   사업자등록번호 612-93-34116


개인정보처리방침   이용약관

© 2025 참조은치과. All Rights Reserved.