mobile background
mobile background

CHAM JOEUN DENTAL CLINIC

진료사례

자연치아 살리기

참조은치과 차연치아 살리기 진료 사례를 소개합니다.


자연치아 살리기# 46, 재신경치료 및 크라운 치료 케이스


치료 기간 2023. 02. 02 ~ 2024. 09. 30






안녕하세요. 참조은치과 권대근 원장입니다.

무더운 더위도 가고, 선선한 가을이 오려나 봅니다. 기분 좋은 케이스가 하나 있어 들고 왔습니다.




이미지





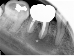
2023. 02. 02 : 재신경치료



우측 하악 낭종이 있으며, 우리한 증상이 10일 정도 지속되어 내원하셨습니다. 기존 신경치료된 치아가 원인으로 보여집니다. 치아 뿌리 하방에 2 cm 정도의 병소가 확인됩니다.



이럴 경우, 생각할 수 있는 게 1) 발치 2) 재신경치료입니다. 발치하고 임플란트하면 간단하고 확실할 순 있겠지만, 치아를 살리는 의미가 더 크겠지요. 다행히 환자분도 살리는 치료를 원하셨고, 결과가 나쁠 수도 있으나 재신경치료를 시행하셨습니다.



다행히 재신경치료는 잘 진행되었고, 신경관 3개 모두 잘 제거하고 소독을 시행하였습니다.




2023. 02. 06 / 02. 10 / 02. 14 : 소독



3번의 소독을 하고 증상은 많이 없어진 것을 확인하였습니다.




2023. 02. 21 : 신경치료 마무리 (with MTA)


이미지

제 블로그를 한 번씩 보셨으면 익히 들어봤을 MTA를 이용해서 신경치료 마무리를 하였습니다. sealer가 pumping 도 되고 잘 된 것처럼 보입니다.




2023. 05. 16

이미지

그동안 증상도 있었고, 불편감이 있어 보철 마무리는 여유를 두고 하였습니다. 3달이 지났음에도 병소가 그대로 있어 좀 아쉬웠었습니다. 경과가 좋으면 1~2 달 이후에도 병소 부위 뼈가 차는 것이 확인이 되기도 합니다.



2024. 09. 30

이미지


1년 반 만에 환자분이 내원하셔서 사진을 찍게 되었습니다. 타치과에서 이런저런 이야기를 듣고 확인차 오신 거긴 한데, 제가 치료했던 치아 하방이 뼈로 잘 차있는 모습을 확인하게 되어 기분이 좋네요.



재신경치료가 실패할 수도 있지만, 이렇게 살릴 수만 있다면 그 어떤 임플란트보다도 가치 있는 치아가 될 것이라 생각됩니다. 오늘도 치아를 살리는 기쁨을 드리는 참조은치과였습니다.




[부작용 안내]


신경치료 후 감염, 염증, 통증 등의 부작용이 발생할 수 있으며, 크라운 보철치료 후 부작용은 보철이 잘못 만들어졌을 때 하악 통증, 편두통 등이 있을 수 있습니다. 또 보철 마모 및 탈락이 있을 수 있습니다.

※ 상기 사진은 본원 권대근 대표원장이 치료한 환자분의 동의를 받은 이미지 사진으로 실제와 차이가 있을 수 있습니다.




오시는 길

경상남도 통영시 광도면 죽림리 1569-31,
강남빌딩 3층 참조은치과
* 통영경찰서, 농협하나로마트 맞은편


진료시간 (둘째, 넷째주 토요일 휴진)

월요일10:00 - 19:00
화요일10:00 - 20:30 (야간진료)
수요일10:00 - 19:00
목요일10:00 - 20:30 (야간진료)
금요일10:00 - 19:00
토요일10:00 - 14:00 (점심시간 없이 진료)
점심시간12:30 - 14:00

참조은치과

대표 권대근
주소 경남 통영시 죽림리 1569-31 강남빌딩 3층
문의 및 상담전화 055-648-7528
사업자등록번호 612-93-34116


개인정보처리방침   이용약관

상담안내

055-648-7528


오시는 길

경상남도 통영시 광도면 죽림리 1569-31 강남빌딩 3층 참조은치과
* 통영경찰서, 농협하나로마트 맞은편


진료 시간 안내

월요일

화요일

수요일

요일

금요일

토요일

점심시간

10:00 - 19:00

10:00 - 20:30 (야간진료)

10:00 - 19:00

10:00 - 20:30 (야간진료)

10:00 - 19:00

10:00 - 14:00

12:30 - 14:00 (토요일 점심시간 없이 진료)

휴무일

둘째, 넷째주 토요일 휴진


참조은치과

대표 권대근   •   주소 경상남도 통영시 죽림리 1569-31 강남빌딩 3층 참조은치과   •   문의 및 상담전화 055-648-7528   •   사업자등록번호 612-93-34116


개인정보처리방침   이용약관

© 2025 참조은치과. All Rights Reserved.