mobile background
mobile background

CHAM JOEUN DENTAL CLINIC

진료사례

교정

참조은치과 교정 사례를 소개합니다.


교정상악구개확장장치


치료 기간 2022. 01. 25 ~ 2022. 02. 05






[턱뼈확장장치(구개확장장치)를 이용한 부정교합 치료 케이스]



일반교정만으로는 모든 부정교합을 치료할 순 없습니다.
골격 자체가 작은 경우는 양악 수술을 하기도 하고, 뼈를 확장하는 수술을 하기도 합니다.
교정 수술도 발전을 하면서 예전과 같은 피가 나는 수술이 아닌 장치를 이용하여 뼈를 벌려주는 치료법이 나왔고,
이 장치도 발전에 발전을 거듭하여 정말 간편하게 뼈를 확장시킬 수가 있게 되었습니다. 




[상악구개확장장치 시적한 사진]



초진 사진은 아니고, 장치를 시적 한 사진입니다.
양치를 못하는 남자아이입니다.
위턱이 아래턱에 비해 상당히 작은 편입니다.
어금니도 아래가 위를 덮고 있는 양상이며, 앞니도 아랫니가 윗니보다 더 나와있는 상황입니다.



이미지

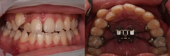
[상악구개확장장치 장착 시 구강 내부 모습 (2022.01.25)]

일반적인 교정보다는 힘들겠지만 입천장에 위와 같은 형태로 장치를 고정하고 나사를 돌리며 악궁을 벌려주는 원리입니다.
자 이제 돌리기 시작합니다.



이미지

[4일차 모습 (2022.01.29)]

장치를 돌리고 4일차 사진입니다. 

대문니 사이가 벌어지기 시작합니다.
역시 나이가 어려서 반응이 빨리 오네요.
벌어짐도 확인했고, 구정 땐 쉬고 이어서 계속 돌리기 시작했습니다.



이미지


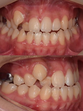
[2주차 모습 (2022.02.05)]

돌리기 시작한 지 2주 차 사진입니다.
대문니 싸이가 2미리 이상 벌어졌네요.
입안을 살펴볼게요.
지속적인 양치질 잔소리로 양치질이 많이 좋아졌습니다.
그리고 어금니를 보시면 처음과는 다르게 윗니가 아랫니를 덮는 양상을 보이고 있습니다.
앞니를 보면 아직 약간 부족하지만 윗니가 아랫니보다 조금 덮으려는 양상을 보이고 있습니다.
장치 하나로 정말 큰 변화를 보이고 있습니다.
여기서 교정을 시작한다면 정말 스무스하게 잘 끝날 것으로 보입니다.
치과에서 발치교정을 설명 듣고 오셨습니다만 턱뼈 확장장치를 이용하여 공간을 충분히 만들고 발치를 하지 않은 채 부족한 뼈를 만들어서 재발 가능성도 줄인 최적의 치료가 되지 않을까 하는 생각이 듭니다.



이미지

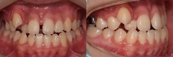
[상악구개확장장치를 이용한 부정교합 치료 전/후 비교]

이미지

[부작용 안내]

교정치료 후 부작용은 치아 탈회, 잇몸 염증, 잇몸 퇴축, 치근 흡수, 턱관절 장애 등이 있을 수 있습니다.

※ 상기 사진은 본원 권대근 대표원장이 치료한 환자분의 동의를 받은 이미지 사진으로 실제와 차이가 있을 수 있습니다.




오시는 길

경상남도 통영시 광도면 죽림리 1569-31,
강남빌딩 3층 참조은치과
* 통영경찰서, 농협하나로마트 맞은편


진료시간 (둘째, 넷째주 토요일 휴진)

월요일10:00 - 19:00
화요일10:00 - 20:30 (야간진료)
수요일10:00 - 19:00
목요일10:00 - 20:30 (야간진료)
금요일10:00 - 19:00
토요일10:00 - 14:00 (점심시간 없이 진료)
점심시간12:30 - 14:00

참조은치과

대표 권대근
주소 경남 통영시 죽림리 1569-31 강남빌딩 3층
문의 및 상담전화 055-648-7528
사업자등록번호 612-93-34116


개인정보처리방침   이용약관

상담안내

055-648-7528


오시는 길

경상남도 통영시 광도면 죽림리 1569-31 강남빌딩 3층 참조은치과
* 통영경찰서, 농협하나로마트 맞은편


진료 시간 안내

월요일

화요일

수요일

요일

금요일

토요일

점심시간

10:00 - 19:00

10:00 - 20:30 (야간진료)

10:00 - 19:00

10:00 - 20:30 (야간진료)

10:00 - 19:00

10:00 - 14:00

12:30 - 14:00 (토요일 점심시간 없이 진료)

휴무일

둘째, 넷째주 토요일 휴진


참조은치과

대표 권대근   •   주소 경상남도 통영시 죽림리 1569-31 강남빌딩 3층 참조은치과   •   문의 및 상담전화 055-648-7528   •   사업자등록번호 612-93-34116


개인정보처리방침   이용약관

© 2025 참조은치과. All Rights Reserved.